2025-04-18
最新消息

分享

全口植牙的親身見證 Safer and Simpler

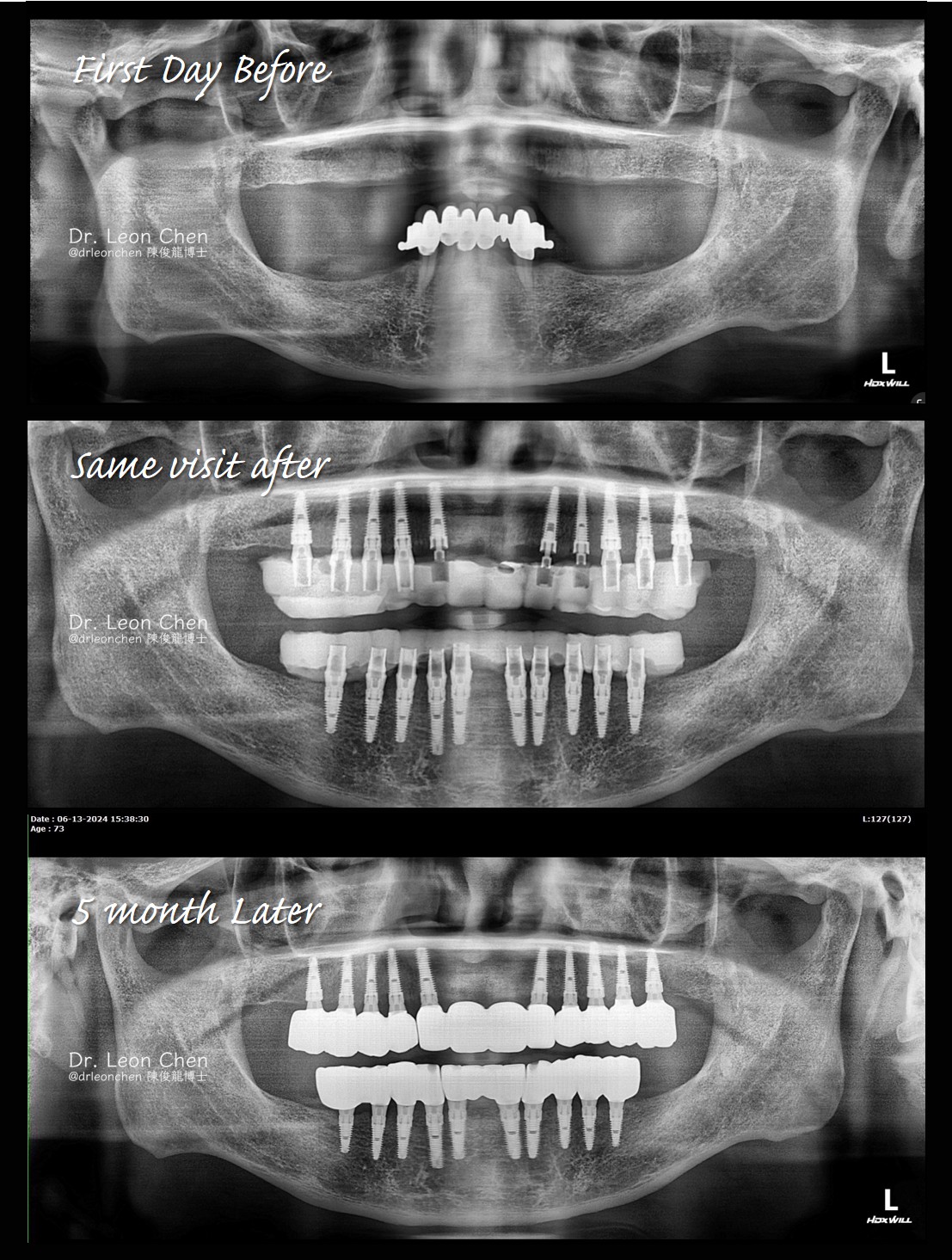
兩年前,陳博士生日那天原本在家放假,突然接到診所來電:「有一位新來的病人,他很不滿意自己的活動假牙,咬不到食物,有嚴重的戽斗。」
這位患者在旁說:「我可以等,希望今天就能處理。」

陳博士趕到診所會診後立即幫他治療,上顎植10顆、下顎植10顆,也馬上幫他裝上固定臨時牙,從戽斗直接變成接近正常咬合了。
當天晚上就直接去應酬吃飯,他的朋友都不敢相信他剛植完牙過來。五個月後回診裝上永久牙。
直到今天,他的朋友還不相信,他已經擁有全口好牙,骨整合期間,生活飲食完全不受影響。

這位患者因為缺牙太久造成後天戽斗,因為上顎的骨頭一般都是往內吸收比較快。植牙之後,整個上唇都撐出來,不但恢復咀嚼功能之後,整個人看起來更年輕。
整個療程只動一次手術、打一次麻醉,全程free hand手術加臨時固定牙,2小時搞定。
手術時間約40分鐘就結束,旁邊跟診的醫師都覺得幸運,能親眼目睹陳博士的live surgery,這就是「一冠一釘,精奈創一鑽植牙」新觀念與技術的成果,更安全、更簡單。
會懂的醫師,看見的是技術與經驗的分享;不懂的,就會覺得是炫耀。

※註:扇斗是指下排牙齒咬在上排牙齒外面,屬於常見咬合問題,也叫牙齒反咬(或稱錯咬)。 
 




▲陳博士擁有全台第一台的全頭顱顏面CT。

 ※ 若需使用陳博士的 X 光片作為文宣或廣告,請事先聯繫並取得同意,感謝您的尊重!
 
陳俊龍博士的一鑽™植牙系統:手術少,創傷小,恢復快!​
沒有併發症;適合各類患者,無論是高齡患者、慢性病患者,甚至是骨質疏鬆患者,且不用停藥的情況下,可以接受治療。
 

如果您對一鑽™植牙有任何疑問或想要進一步了解,歡迎與我們聯繫,
我們將為您提供專業的建議與最適合的治療方案。

▌里昂哈佛仁愛牙醫診所 ▌
預約LINE:
@769rwgpt
預約專線:02-2325-2100
診所地址:台北市大安區仁愛路四段416號2樓