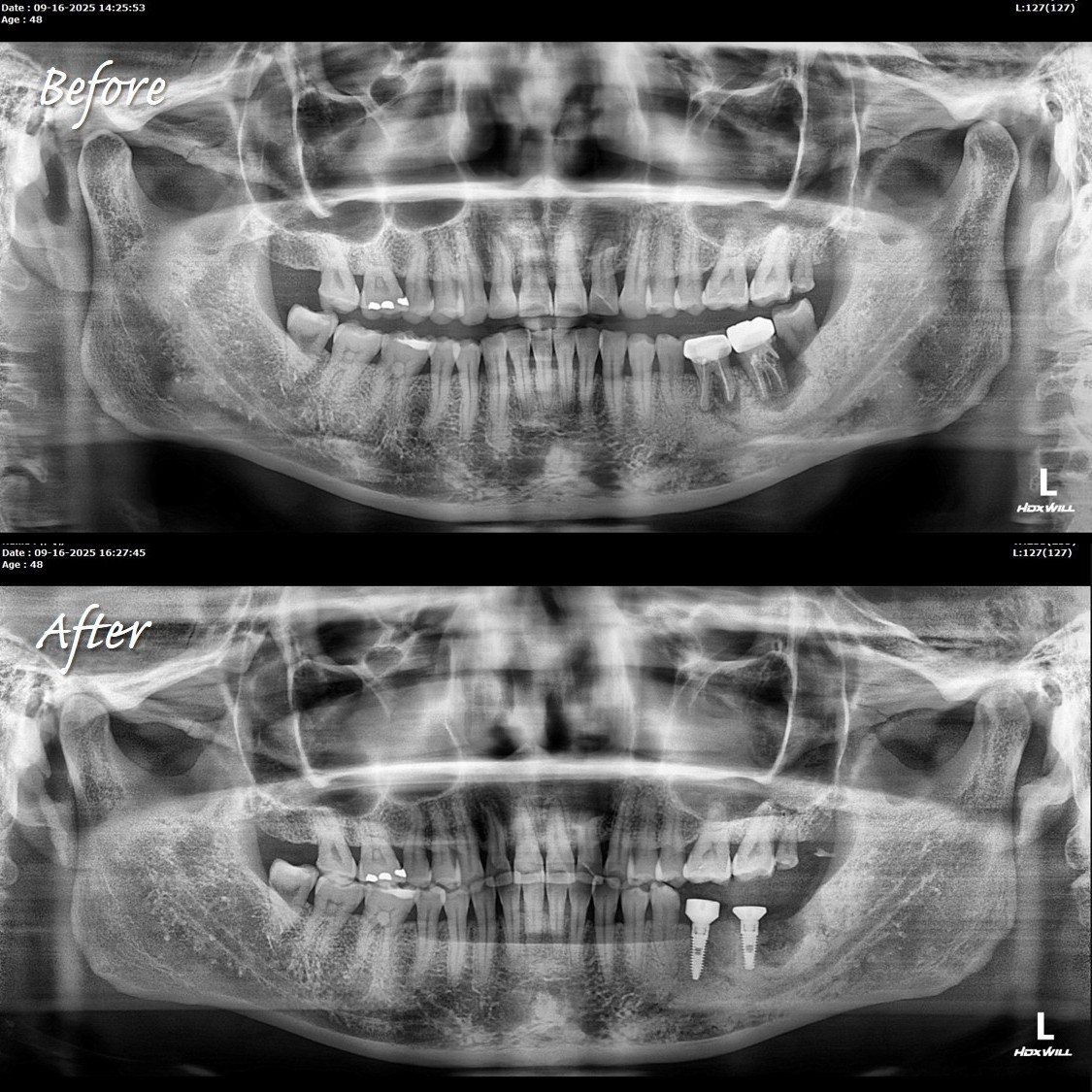
陳俊龍博士分享,診所傳來X光片,讓他疑惑自己沒上班,怎麼會有植牙案例。
仔細一看才知道,原來是年輕醫師完成的植牙案例,成果相當漂亮,堪稱完美的植牙案例。
這位年輕醫師平時很少參加演講或追隨大師,他選擇默默投入臨床,工作之餘陪陪家人。
他也只在陳博士身邊學習一兩年,就能做到比「大師」還厲害的案例。從X光片的時間能看出,同一天下午完成即拔即植。
陳博士強調:工具對了、方法正確,就能做到。眼見為憑,成果就是最好的證明。能在短時間內達到這樣的水準,已經非常不容易。
至於有些人會質疑,為什麼植牙角度沒有依循 curve of Spee 或 curve of Wilson?
陳博士強調的理念,與傳統「平行自然牙根」的思維截然不同。
換個角度思考:假如有人堅持植體必須依照 curve of Spee 或 curve of Wilson,那現在廣受推崇的 All-on-X案例,是否也是遵循這些曲線?這樣的角度設計真的正確嗎?能確保五年以上不出問題嗎?
陳博士能自信地說,他的許多案例已經穩定追蹤20至30年以上;而One Drill System也已有17、18年以上的臨床驗證。
綜觀這些長期結果,證明他的觀念經得起時間的考驗。
※ 若需使用影像 X 光片作為文宣或廣告,請事先聯繫並取得同意,感謝您的尊重!
「陳俊龍博士整套 LEONS Concept 精奈創一鑽植牙」技術
✓手術少,✓創傷小,✓恢復快!
適合各類患者,無論是高齡患者、慢性病患者,甚至是骨質疏鬆患者,沒有併發症;且不用停藥的情況下,可以接受治療。
如果您對一鑽™植牙有任何疑問或想要進一步了解,歡迎與我們聯繫,
我們將為您提供專業的建議與最適合的治療方案。
▌里昂哈佛仁愛牙醫診所 ▌
預約LINE:@769rwgpt
預約專線:02-2325-2100
診所地址:台北市大安區仁愛路四段418號2樓